¿Has notado que a tu hijo le están saliendo dientes definitivos detrás de los de leche, formando una doble fila? No estás solo!!!!
Este fenómeno es más común de lo que crees, y tiene solución. En este artículo te explicamos por qué ocurre, cuándo es necesario actuar, y qué puedes hacer como madre o padre para asegurar la salud bucodental de tu hijo.

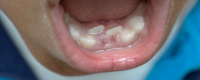
¿Qué es la doble fila de dientes o “dientes de tiburón”?
Cuando un niño empieza a cambiar los dientes de leche por los permanentes, lo normal es que los nuevos dientes empujen a los anteriores, haciendo que se caigan. Sin embargo, en algunos casos, los dientes definitivos erupcionan por detrás de los de leche sin que estos últimos se hayan caído todavía. Esto provoca una apariencia de «doble fila», como la que se ve en la boca de un tiburón, y por eso se conoce popularmente como “dientes de tiburón”.
¿A qué edad suele pasar?
Este fenómeno es más común entre los 5 y 7 años, especialmente en los incisivos inferiores centrales (los dientes delanteros de abajo). También puede pasar en otras piezas, pero es menos frecuente.
⚠️ ¿Es peligroso? ¿Debo preocuparme?
En la mayoría de los casos, no es un problema grave, pero sí conviene acudir al odontopediatra cuanto antes. Si los dientes de leche no se caen por sí solos en un plazo de pocas semanas, puede ser necesario retirarlos para dejar espacio a los permanentes.
Si no se actúa, los dientes definitivos pueden salir torcidos o fuera de lugar, lo que podría requerir ortodoncia en el futuro.
¿Qué puede hacer el odontopediatra?
-
Evaluar si hay espacio suficiente en la mandíbula para los dientes permanentes.
-
Comprobar si los dientes de leche tienen movilidad o no.
-
Extraer los dientes de leche si es necesario, de forma rápida y sin dolor.
-
Orientarte sobre el desarrollo dental de tu hijo y su seguimiento.
¿Qué puedes hacer tú como madre o padre?
-
Observar con atención si los dientes de leche se mueven o no.
-
Mantener una buena higiene bucal para evitar infecciones o inflamación.
-
Acudir al odontopediatra en cuanto notes la doble fila, para que valore el caso.
📌 Conclusión: mejor prevenir que corregir
Ver una doble fila de dientes en tu hijo puede causar alarma, pero es un proceso común y fácil de manejar si se actúa a tiempo. La clave está en acudir al especialista y no esperar demasiado.
En HitDental trabajamos para que tanto profesionales como familias estén siempre informados y actualizados sobre la salud bucodental. Ven a visitarnos para una consulta gratuita:
- Calle Camarena 186, Madrid. 28047
- Telf: 912081888. WhatsApp 601436767
- atencionalpaciente@hitdental.es


